• Últimas Noticias
  • Portada
  • San Juan
  • Política
  • Economía
  • Cuyo Minero
  • Suplemento Verde
  • Revista OH
  • Policiales
  • Pasión Deportiva
  • Espectáculos
  • Argentina
  • El Mundo
  • Recetas
  • En las redes
  • Cartas del lector
  • Opinion
  • Sociales
  • Salud
  • Tecnología
  • Tendencia
  • Estado del tránsito
Diario de Cuyo
    • Policiales de hoy
    • El Pulso del día
    • Cuyo Minero
    • Juegos

    Noticias sobre Afasia

    Conocé más acerca de Afasia

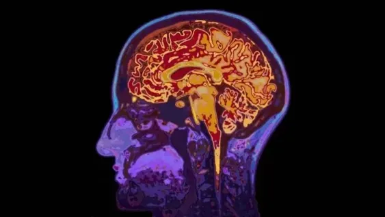
    ¿Qué es la afasia? La enfermedad que padece Bruce Willis
    factores y tratamiento

    ¿Qué es la afasia? La enfermedad que padece Bruce Willis

    Por Redacción Diario de Cuyo
    Diario de Cuyo

    Av. Alem Sur 1639. Esquina Lateral de Circunvalación

    diariodecuyo.com.ar

    Siguenos en:
    • Facebook
    • Instagram
    • tiktok
    • X
    • Youtube
    • whatsapp
    Secciones
    • San Juan
    • Política
    • Economía
    • Cuyo Minero
    • Suplemento Verde
    • Revista OH
    • Policiales
    • Pasión Deportiva
    • Espectáculos
    • Argentina
    • El Mundo
    • Recetas
    • En las redes
    • Cartas del lector
    • Opinion
    • Sociales
    • Salud
    • Tecnología
    • Tendencia
    • Estado del tránsito
    Clasificados
    • Clasificados
    • Inmuebles
    • Automotores
    • Empleos
    • Servicios
    • Avisos Fúnebres y Misas
    • Edictos

    Diario de Cuyo - Fecha de Inicio: 11/2003 - Dirección: Av. Alem Sur 1639. Esquina Lateral de Circunvalación - Contacto: [email protected] - Email: [email protected] / [email protected] - Whatsapp: (054) 264 5045343 - Gerente General: Pablo Dellazoppa - Secretario de Redacción: Diego Castillo - Editor Web: Mario Romero - Empresa propietaria del medio - FRANCISCO MONTES S.A.C.I.F.

    Dos Al Cubo