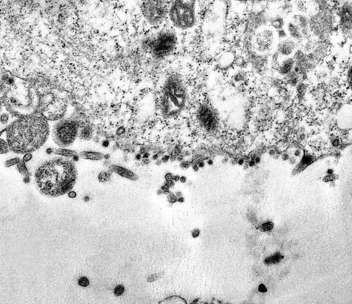
Miembros de la Fundación Oswaldo Cruz (Fiocruz) de Brasil, el mayor centro de investigación médica de Latinoamérica, realizaron un hallazgo científico inédito: la secuencia fotográfica en que el coronavirus ataca la célula de un organismo.
Las fotografías se tomaron con un microscopio electrónico de transmisión durante un estudio sobre replicación viral del SARS-CoV-2 y muestran con detalle el proceso de contaminación de una célula, según anunció la entidad en un comunicado.
Para ello, investigadores de la Fiocruz, órgano vinculado al Ministerio de Salud de Brasil, infectaron células de linaje "Vero", que frecuentemente se usan para ensayos in vitro y cultivos celulares, con el coronavirus, causante de la enfermedad del COVID-19.

En una de las instantáneas se observa una serie de puntos oscuros, que en realidad son partículas virales del patógeno, intentando infectar el citoplasma de la célula, en cuyo interior se encuentra el núcleo, responsable de guardar el material genético.
En una segunda imagen, el coronavirus inicia el proceso de infección y finalmente, en otra toma, ya se visualizan las partículas virales en el interior de la célula.

El registro es inédito en Brasil y forma parte de una investigación que estudia cómo se reproduce el nuevo coronavirus y el cual es conducido por científicos del Laboratorio de Morfología y Morfo-génesis Viral y el Laboratorio de Virus Respiratorios y Sarampión.
Brasil es el país de Latinoamérica más afectado por la pandemia del nuevo coronavirus con 706 fallecidos y 14.275 casos confirmados hasta ayer miércoles.

Según el Ministerio de Salud, que prevé que el pico llegue entre abril y mayo, los datos arrojan una tasa de letalidad del patógeno en suelo brasileño del 4,9 %.
El estado de San Pablo, el más rico y populoso de Brasil, con unos 46 millones de habitantes, es la región más golpeada al contabilizar 371 muertes y 5.682 contagios.
