
Por un fenómeno llamado “fetus in fetu”, una mujer en la India vivió sin saberlo durante toda su vida con un “hermano gemelo” dentro de su cuerpo. Recientemente, los médicos le extirparon del vientre un cuerpo que medía 30×16×10 centímetros e incluso tenía pelos y "múltiples dientes".
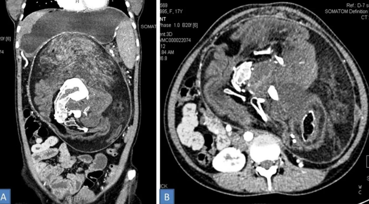
Durante sus 17 años de vida, la joven experimentó un proceso extraño en su abdomen. En su interior había un cuerpo parásito por una “rara anomalía del desarrollo en la que un feto malformado se halla dentro del cuerpo de otro gemelo", según explicaron científicos en una publicación en BMJ Case Reports.
Según el informe, la chica desarrolló un tumor durante 5 años que "estuvo aumentando de tamaño gradualmente". Durante este período, sufrió de dolores en el abdomen.

Tras varios estudios, que incluyeron una tomografía computarizada con contraste, los médicos lograron diagnosticar un caso de “Fetus in fetu”, por lo que decidieron extraer al “intruso” mediante una intervención quirúrgica.
El “fetus in fetu” es un tipo de gemelo parásito muy poco desarrollado. Según los especialistas, es una "condición extremadamente rara", un fenómeno que ocurre en uno de cada millón de nacimientos y que existen menos de 200 casos registrados en la literatura médica.
Además, de acuerdo a BMJ Journals, el caso de la joven hindú es el primero registrado en el organismo de una mujer casi adulta. Hasta ahora solo se conocen otros 7 casos similares observados en personas de más que 15 años de edad.
