


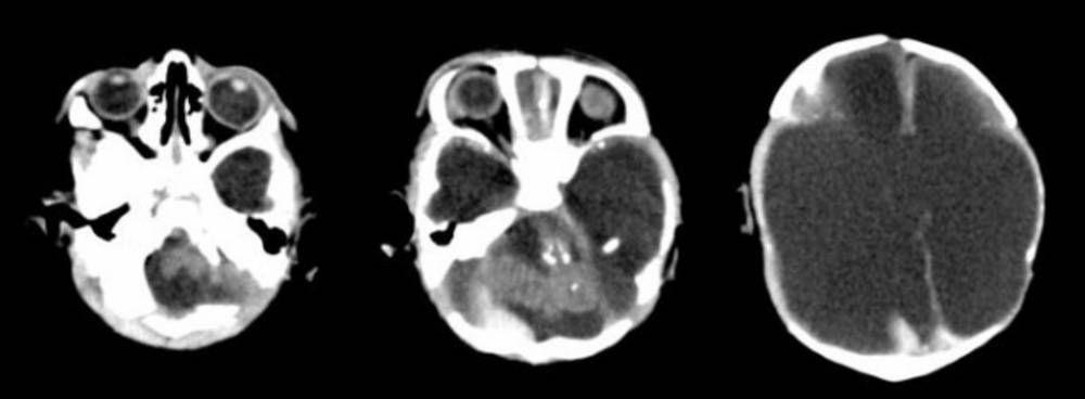
El Ministerio de Salud de Santa Fe informó que fue detectado el primer caso en la provincia de un bebé nacido con microcefalia por efecto del zika y destacó que la madre contrajo la enfermedad en este territorio.
El director de Epidemiología de la cartera de Salud santafesina, Julio Befani, precisó que se trata de un niño que "nació en 2016", pero "recién en la segunda semana de 2017 terminaron los estudios en el Instituto Maiztegui" que confirmaron el cuadro. "Con los datos que nos enviaron ellos, más los registrados de las malformaciones congénitas estamos en condiciones de concluir que el caso de microcefalia fue consecuencia del contagio de zika de la madre del niño", sostuvo el funcionario, en declaraciones a la prensa.
Además, Befani afirmó que "la madre se habría contagiado de zika en la provincia", ya que "no pudo determinarse que ambos padres hayan viajado al exterior antes de presentar los síntomas".
El funcionario admitió la demora en "la confirmación del cuadro" y explicó: "Se debe aguardar hasta el nacimiento y luego completar un algoritmo que nos permite comprobar las variables que derivaron en la microcefalia".
Befani reiteró que "se deben profundizar las medidas que posibiliten limitar la presencia del mosquitos transmisor del virus del zika, que es el mismo que puede ser portador de dengue y chikungunya". "Hay que generar ámbitos libres de cacharros que puedan acumular agua, como elemento fundamental para evitar que se produzca el agente transmisor", recordó.