Una peligrosa situación tuvo lugar en Estados Unidos, cuando un menor de edad se tragó una pila y la misma quedó trabada en su cuerpo sin que sus papás supieran hasta que lo revelaron estudios médicos por sus malestares. De esta manera, los profesionales indicaron que sería difícil que el nene continuara con vida pero una particular razón luego explicó la situación.
La historia comenzó en Arizona, donde Luke McMillan, el nene de cinco años, se tragó una pila y la misma le quedó atorada en el esófago. Como los padres no se habían enterado de lo sucedido, distintas dolencias del niño fueron la advertencia para visitar a un doctor, por ejemplo la presencia virósica dentro de su oreja. Por lo que le indicaron que tome medicamentos para curar el malestar.
Es así que el menor de edad mostraba estar recuperado pero nuevamente manifestaba dolores: tenía dificultades al tragar alimentos sólidos. Es entonces que sus papás le cambiaron la dieta con el objetivo que su hijo se alimente mientras dure el tratamiento. “Simplemente asumimos que era un efecto secundario porque ya lo había hecho antes”, aseguró su mamá, Erica.
Hasta que notaron que aún luego de terminar de tomar los medicamentos, todavía tenía dificultades para digerir alimentos sólidos. Para los médicos, se trataba de un problema de reflujo, por lo que su mamá decidió cambiar de profesional para poder tener otra mirada sobre la situación de su hijo.
La reacción de los médicos al encontrar la pila dentro del organismo del menor
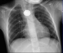
A través de una radiografía de tórax, el nuevo médico que atendió al nene encontró lo que le sucedía. “Les vi poner mirada extraña”, recordó la mamá de Luke y, al ver las imágenes, comenzaron a preguntar si existía la posibilidad que el se haya tragado una moneda o un botón.
De inmediato, lo trasladaron de urgencia a un hospital para determinar de qué se trataba el objeto que veían en los estudios. Según explicó la mamá, los profesionales decían: “No hay forma de que sea una pila porque comienzan a corroerse en tan solo dos horas”
En esta misma línea, Erica la mamá señaló: “Dijeron que tenía algo plateado en el pecho, pero que sería peligroso sacar ese objeto sin una cirugía completa”. De esta manera, se llevó adelante la intervención quirúrgica correspondiente y encontraron que la pila estaba envuelta en una cinta aislante, lo que permitió que no se degrade y le salvó la vida al menor de edad.
