Personal del Puesto Control Fijo “Trancas” perteneciente del Escuadrón 55 “Tucumán” de Gendarmería Nacional, mientras llevaba a cabo tareas de prevención y seguridad vial, sobre el kilómetro 1.358 de la Ruta Nacional N° 9, en Tucumán, controló un transporte público de pasajeros que circulaba con itinerario Jujuy – San Juan.
Al iniciar con el registro de las personas, los funcionarios en conjunto con los efectivos de la Dirección Antidrogas de la Institución lograron individualizar a tres hombres de nacionalidad boliviana y advirtieron que los mismos mostraban signos de haber ingerido cápsulas con estupefacientes.
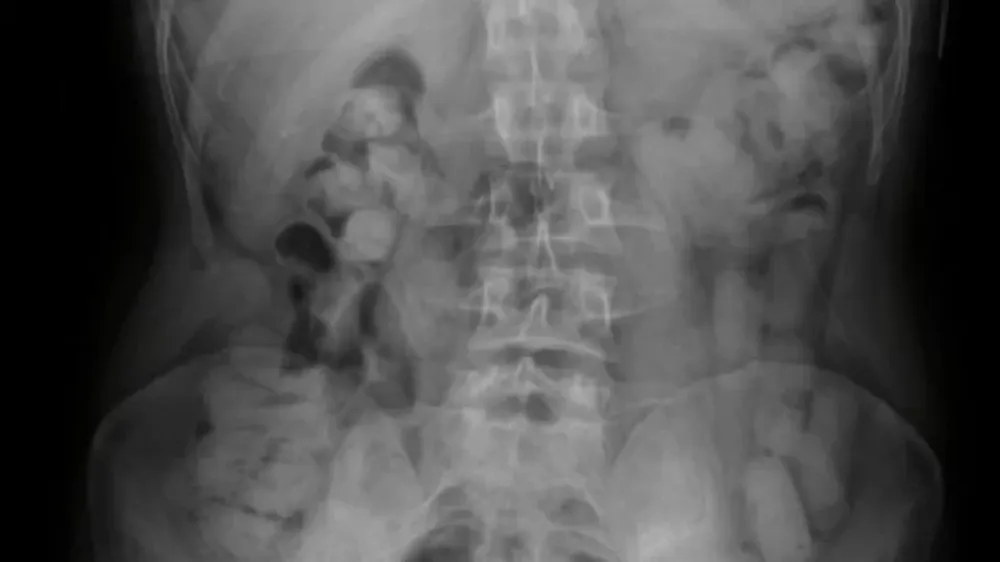
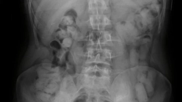
Ante la presunción de estar frente a un hecho ilícito, los uniformados tomaron contacto con el Juzgado Federal de Tucumán, el cual autorizó el traslado de los ciudadanos hacia el nosocomio local, a los fines de efectuar las placas radiográficas.
Los resultados de los estudios médicos confirmaron la presencia de cuerpos extraños en el interior de los estómagos de los pasajeros, quienes inmediatamente quedaron bajo observación.
Tras un día de internación, los involucrados evacuaron 235 cápsulas con un peso total de 2 kilos 554 gramos de cocaína. El Magistrado interviniente dispuso el labrado de las actuaciones y el decomiso de la droga, como así también la detención de los ciudadanos en infracción a la Ley 23.737.

